2025年12月18日 行业动态:
首页 > 行业信息 >> 专题论述
专题论述

一文带你了解SEBS与EVA共混发泡技术

发布时间:2024/12/4 14:52:17 来源:聚烯烃人

这两年EVA发泡鞋底材料,已逐渐成为休闲运动鞋材的主流,但是因受限于EVA材料本身在柔软性、耐压缩性、止滑性、弹性与材料拉伸性等方面的特性较差,所以皆会使用弹性体进行改性。采用SEBS改性EVA,通过对SEBS添加扩展油来调整共混体系的软硬度,可制得性能优良、硬度范围广泛的发泡制品。

DCP/AC发泡体系

偶氮二甲酰胺(AC)发泡剂分解温度高,发气时间长,通常要添加助剂降低其分解温度。根据交联发泡理论,通常要求在DCP开始分解并使聚合物交联一段时间后,发泡剂才开始分解,这时才能得到稳定的泡孔。

以ZnO作主促进剂,ZnSt作辅助促进剂,当AC:(ZnO/ZnSt)=10:1,ZnO与ZnSt比例为1:5时,AC分解温度峰值为175.9℃。这个分解温度与DCP分解温度(173.6℃)十分相近,为最优配比。

发泡材料的性能分析

力学性能测试表明,在170℃,材料的力学性能随着发泡时间延长而变差;180℃发泡6min后,190℃发泡3min后,材料的力学性能保持不变。密度变化规律与力学性能变化相同,采用不同发泡工艺,可制备密度在0.15g/cm3-0.49g/cm3的泡沫材料。

1.SEBS用量对EVA发泡材料性能的影响

在EVA发泡体系中加入SEBS,材料的硬度和拉伸强度下降,但撕裂强度变化不大,而断裂伸长率先升高后略为下降。这是因为SBES分子链中有橡胶段因而有很好的弹性,当其均匀分散于EVA体系中,可以降低分子链间的作用力,起到增塑作用,此时可认为SEBS是一种高分子增塑剂,可提高发泡材料的柔韧性;而由于SEBS中同时有塑料硬段,分散于弹性体连续相中,将起到物理交联点的作用。

由表1还可以发现,在各SEBS用量相同情况下,YH-6O4T各项性能均好于YH-502T。

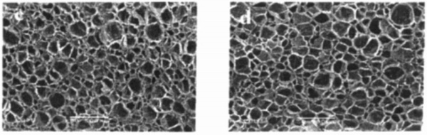
2.SEBS用量对EVA发泡材料泡孔结构的影响

在没有加入SEBS的发泡体系中,泡孔小,泡孔密度也小,而且分布也不均匀,泡孔生长也不充分。而随着SEBS加入量的增加,泡孔变大,生长更充分,分布也更为均匀,相邻泡孔间挤压为不规则形状。

而在相同用量的SEBS体系中,加入YH-604T的发泡体系中的泡孔尺寸小于加入YH-502T的,并且加入YH-604T的发泡材料中的泡孔较加入YH-502T的泡孔更为均匀紧密。这也是在SEBS用量相同情况下,含YH-604T的体系各项性能均好于含YH-502T的原因。

3.SEBS的加入对熔体黏弹性的影响

熔体黏弹性对泡沫材料的泡孔结构、泡沫稳定等性能都是极其重要的。随着时间的延长和DCP的分解,材料开始交联,分子转变为一定的网状结构,熔体的弹性增大,到达最大值后逐渐趋于稳定。

而随着交联度的增加,弹性模量的增加比黏性模量更为剧烈,这更有利于生成紧密的泡孔结构。SEBS质量分数在40%时,熔体的弹性和黏度要比20%时小,这也是SEBS质量分数为40%中泡孔较大的原因。

4.SEBS用量对EVA/SEBS体系交联度的影响

随着SEBS用量的增加,体系交联度明显下降,这是因为SEBS中只有EB段容易交联;而且两种体系中SEBS用量相同时,YH-604T体系的交联度要高于YH-502T体系的。

这也就解释了随着SEBS的加入引起熔体的黏性模量和弹性模量下降,所导致的泡孔结构的变化。也是由于YH-604T体系的交联度高于YH-502T体系,使得制得的发泡材料泡孔更为均匀致密,各项性能均要好一些。






免责声明:本图文、资料来源于网络,转载的目的在于传递更多信息及分享,并不代表本网站赞同其观点和对其真实性负责,也不构成其他建议。仅供交流,不为其版权负责。如涉及侵权,请及时与我们取得联系: zpia2008@163.com。